What is the importance of a consultation with Dr. Harbison?
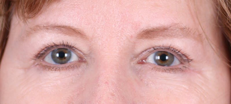
It is essential to have a thorough consultation before your eyelid surgery in Omaha, as there can be many underlying issues that, if not identified, may result in limited benefit or possible complications. Some examples of such issues include laxity of the lower lid tarsus (connective tissue), upper eyelid blepharoptosis (dysfunction of the upper eyelid elevators), and the presence of eyebrow ptosis (drooping). Also, a variety of aging changes can occur, and it is critical that your surgery is performed by an experienced, highly trained facial plastic surgeon.
At what age is eyelid surgery performed?
When the skin on the eyelids has become unsightly or bothersome, we can perform a custom eyelid surgery. Sagging eyelid skin can appear as early as during the 40s, unique to the individual genetic background of the person.
